A COMBINED EARLY ORTHODONTIC TREATMENT +
FUNCTIONAL APPLIANCE COURSE

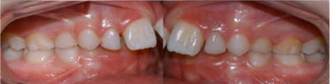
This online two day course will take you through normal occlusal development, which is fundamental to orthodontic treatment, and pause to show examples of what sometimes goes wrong. It will then indicate what you should treat now and how, and what is best left until later. Here are some examples:

The course also aims to give you the the knowledge to diagnose, have an idea of how functional appliances work and know when best to treat. It specifically gives you the clinical finesse required to maximise the likelihood of success with Clark Twin Blocks but the underpinning knowledge applies to all types of functional appliances, including those now incorporated into clear aligners (that did not exist if you did the Functional Appliance Course back a few years so it will be good revision).

The dates for the online only course are two consecutive Fridays from 9am - 5pm:

  • Friday 8th May 2026 and

  • Friday 15th May 2026

With an evening tutorial in between.

REGISTER by completing the registration form below when making the initial deposit. You will receive a confirmation and receipt within 48 hours.

  1. Pay the DEPOSIT of $580.00 (incl GST) to secure your place

  2. Pay the FINAL PAYMENT:

    A final payment of $1,600 (incl GST) with payment no later than 1st April 2026;

Payments can be made by :

  • credit card (see below) or

  • by direct deposit (preferred - please email the receipt to braces@orthodontist.net):
                    Account Name:   Morris Rapaport  
                    BSB:                          062115
                    Acct No:                 00131878  
                    Description :          M Align surname


REGISTRATION FORM:

PAYMENT by Credit Card:

Deposit for Early Ortho + Functional Appliance Course - Payment 1 of 2
A$590.15

to secure your place (incl 1.75% cc fee)

 

+

Final Payment for Early Ortho + Functional Appliance Course - Payment 2 of 2
A$1,628.00

Must be paid by 1st April 2026 (includes 1.75% cc fee)

___________________________________________OR _____________________________________

Early Ortho and Functional Course Payment in Full
A$2,218.15

Full payment for Early Orthodontic Treatment & Functional Appliance Course (inc 1.75% cc fee)